HERMOSILLO.- Un pequeño de nombre Dylan se encuentra luchando por su vida luego de haberse tragó por accidente una pila, la cual le ha provocado daños en el esófago y pulmones. El niño de dos años de edad esta hospitalizado en el área de terapia intensiva del Hospital Infantil del Estado de Sonora (HIES) desde el pasado 27 de octubre.
Nayeli Guadalupe Coronado madre de Dylan explicó que se percataron que el niño presentaba problemas para respirar por lo que lo llevaron de emergencia al Hospital de Cananea; sin embargo al llegar al nosocomio y tras una revisión los médicos le informaron que el pequeño se había tragado una pila.
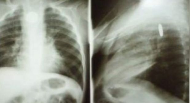
Ante la gravedad de su estado de salud, Dylan fue trasladado al Hospital Infantil del Estado Sonora donde su estado de salud es reservado, la pila reventó en el interior de su organismo provocando quemaduras en su estómago e infección en un pulmón, por lo que requiere que se le hagan estudios constantes, los cuales tiene un costo elevado, ante ello familiares del pequeño, quien es originario de Cananea lanzaron una campaña de apoyo mediante sus redes sociales debido a que la atención médica está resultando costosa, por lo que buscan recabar fondos que les ayuden a sostener los gastos hospitalarios.
Te podría interesar
La familia de Dylan no cuenta con seguro médico, por lo que se ven en la necesidad de abrir un fondo de ahorro para ayudar a que el niño se recupere, pues actualmente se encuentra grave.
La madre del pequeño informó que las personas que quieran apoyar pueden realizar su aportación en la cuenta bancaria 4217 4700 6693 8719.
Nayeli comentó que a 12 días de este trágico acontecimiento Dylan no han podido ser operado por que su sangre no esta generando oxigeno.
